このようなお悩みは
ありませんか?

  • 抜歯が必要と言われた
  • インプラントを勧められた
  • できれば歯を残したい
  • 歯がグラグラしている
  • 歯周病で抜くと言われた
  • 根の先に膿があると言われた

歯の状態によっては保存できる可能性があります。まずは現在の状態を正確に診断することが重要です。

なぜ抜歯と診断されるのか

抜歯と診断される主な理由

  • 重度歯周病
  • 大きな根尖病変
  • 重度むし歯
  • 歯の破折
  • 歯根吸収
  • 咬み合わせの問題

これらの状態でも、条件によっては保存できる場合があります。ただし長期的な安定が見込めない場合は、無理に保存を行わないことも重要です。

当院の保存治療の考え方

当院では可能な限り歯を残す治療を検討します。
ただし無理に残すのではなく、長期的な安定を最優先に判断します。
保存が可能な場合のみ、適切な治療方法をご提案します。

保存治療の方法

抜歯回避のために行う主な治療

■歯周組織再生療法
歯周病で失われた骨や歯周組織の改善を図ります

■精密歯内療法(マイクロスコープ使用)
感染した根管の精密な治療

■歯根端切除術
根の先の病変を外科的に除去

■矯正的挺出
歯質が少ない歯の保存

■咬合調整(咬合再構成含む)
過度な力の負担を軽減
※歯の状態により適切な方法をご提案します

症例1 歯周病で抜歯と
言われた歯の保存

  • 主訴
    歯がグラグラ動く
  • 診断
    重度歯周病
  • 治療
    歯周基本治療、歯周組織再生療法
  • 治療期間
    8ヶ月
  • 治療費
    約12万円
  • リスク
    再発の可能性あり
    ※歯周組織の再生量は個人差があります。
歯周病で抜歯と言われた歯の保存

  before    after  

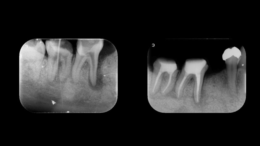
症例2 精密歯内療法で
抜歯を回避した症例

  • 主訴
    他院で抜歯と言われた/腫れ痛みが続く/膿が出る
  • 診断
    慢性根尖性歯周炎、根管治療不良
  • 治療
    マイクロスコープを用いた精密歯内療法
    感染根管の再治療
    最終補綴
  • 治療期間
    1.5〜2ヶ月
  • 治療費
    約14万円
  • リスク
    再発の可能性あり
    歯質量が少ない場合は破折の可能性あり
精密歯内療法で抜歯を回避した症例

  before    after  

症例3 根の病変で抜歯と
言われた歯の保存

  • 主訴
    痛くて噛めない
  • 診断
    慢性根尖性歯周炎
  • 治療 感染根管治療、歯根端切除術
  • 治療期間
    3ヶ月
  • 治療費
    約16万円
  • リスク
    再発の可能性あり
    歯質量が少ない場合は破折の可能性あり
根の病変で抜歯と言われた歯の保存

  before    after  

症例4 矯正的挺出により
保存した症例

  • 主訴
    歯が折れた/歯が短くて被せられない
  • 診断
    歯肉縁下カリエス、歯冠破折
  • 治療
    矯正的挺出
  • 根管治療
    歯周組織調整
  • 治療期間
    3〜6ヶ月
  • 治療費
    約22万円
  • リスク
    治療期間が長くなる
    歯の動揺が残る可能性
    歯質量が少ない場合は破折の可能性あり
矯正的挺出により保存した症例

  before    after  

保存できない場合もあります

以下の場合は保存が難しいことがあります

  • 歯根破折が深い場合
  • 骨吸収が著しい場合
  • 動揺が大きい場合
  • 残っている歯質が少ない場合

その場合は、インプラントやブリッジなど別の治療方法をご提案します。

全体治療が必要なケース

複数の歯に問題がある場合や、咬み合わせが崩れている場合は全体的な治療が必要になることがあります。その場合は全顎的な診断を行い、長期的に安定する治療計画をご提案します。

院長メッセージ

歯を残すかどうかは重要な判断になります。
状態によっては保存が難しい場合もありますが、可能な限り歯を残す方法を検討します。
まずは精密検査を行い、現在の状態を確認した上で最適な方法をご説明いたします。