歯の状態が悪くてもご安心ください

今まで様々な事情があり、治療が難しかった方も多いと思います。
大切なのは、これからどうするかです。
まずは現在の状態を把握し最適な治療方法をご提案します。

このようなお悩みはありませんか?

このようなご相談が増えています。

  • 「歯がボロボロでどこから治せばいいかわからない」
  • 「歯医者に行く度に別の歯が悪いと言われる」
  • 「もう全部ダメかもしれないと感じている」
  • 「どこで治療しても⾧持ちしない」
  • 「怒られるのではないかと不安」
  • 「口の中を見せるのが恥ずかしい」
  • 「何から相談すればいいかわからない」

具体的には

  • 歯周病が進んでいると言われた
  • 歯がグラグラしている
  • 噛みにくい
  • 被せ物が多い
  • 歯が抜けてきた
  • 全体的に口の中に心配、不安がある

このような場合は、部分的な治療ではなく全体的な診断が必要になることがあります。

なぜ全体的な治療が必要になるのか

歯の問題は1本だけでなく、噛み合わせや歯周病などが複雑に関係しています。
特に噛み合わせは上下左右の歯が絶妙なバランスで成り立っています。部分的な治療を繰り返すと徐々にバランスが崩れ別の歯に負担がかかってしまいます。それがドミノ倒しのように影響し全体が悪くなっていきます。治療の繰り返しの負のサイクルを改善するには悪くなっている部分だけを治療しても改善することができません。

よくある経過

奥歯のむし歯や歯周病が進行する

痛みが出た歯だけを治療する

噛みにくくなり反対側で噛むようになる

反対側の歯に負担がかかる

別の歯が悪くなる

抜歯が必要な歯が増える

噛み合わせが崩れる

前歯に負担がかかる

前歯も悪くなる

歯の状態が全体的に悪くなる

実際にこのような状態で来院される方は少なくありません。
そのため全体的な診断を行い⾧期的に安定する治療計画を立てることが重要です。

全顎治療とは

全顎治療とはすべての歯・噛み合わせ・歯周組織・審美を総合的に診断し治療を行う方法です。部分的な治療ではなく、⾧期的な安定を目的とした治療になります。

以下の治療を組み合わせて行います

  • 歯周病治療
  • 歯周組織再生療法
  • インプラント治療
  • 精密歯内療法
  • 矯正治療
  • 咬合再構成
  • 補綴治療

このような方に適しています

  • 重度歯周病の方
  • 歯が多数欠損している方
  • 咬み合わせが崩れている方
  • 被せ物が多い方
  • インプラントが必要な方
  • 抜歯が複数必要な方

歯の問題は1本ずつ進行することが多く、気づかないうちに全体の噛み合わせが崩れていきます。このような場合、部分的な治療では改善が難しく、全体的な診断が必要になることがあります。

当院の全顎治療の特徴

担当が途中で変わることはありません。最初から最後まで院⾧が責任を持って治療します。

当院の全顎治療では、院⾧が一貫して診査診断から治療まで担当します。
予防的な観点から、治療が終わった後に虫歯・歯周病の再発がなく、安心して噛める口腔内の環境にどう治療していくか、それには術者の知識と技術が直接影響します。今までの経験や過去の実績、バランス力、研鑽を積み、そしてこれからも研鑽を続ける院⾧だから提供できる全顎治療があります。
全体的な治療が必要な場合、最も大切なことは「なぜこのような状態になってしまったのか」という原因を究明する診査診断です。虫歯や歯周病だけでなく、噛み合わせや歯の負担、これまでの治療の影響などを多角的に診査診断し、原因を突き止めた上で治療計画を立案します。多角的な診査診断を行うことで原因を突き止め、原因の改善と共に再発しない口腔内を作る治療計画を立案します。

治療前に明確なゴールを設定

治療計画において重要なことは詳細な治療ゴールを明確にしてから治療を始めることです。それはお口の中だけでなく顔とのバランス、全身との調和まで詳細なイメージ像を作りあげます。虫歯、歯周病、噛み合わせを改善をすることはもちろんですが、最終的に顔と調和した審美的な結果を提供するにはそれを見越した治療計画が必要です。虫歯、歯周病は治ったけど口元に自信が持てないというのは時間と費用を費やした患者さんにとっては望むところではないと思います。

包括的な診断と治療が可能

全顎治療では、複数の問題が同時に存在します。いざ治療を始めたとしても実際に治せなければ、治療計画も絵に描いた餅でしかありません。虫歯、歯周病、審美、 矯正治療、噛み合わせ、欠損補綴、顎関節、予防、⾧期予後のどの分野にも精通している必要があり、総合力、バランス力が必要であり、当医院では実現可能です。

⾧期的なお付き合いを前提とした治療

全顎治療は治療期間が⾧く、患者さんの負担も大きい治療です。なぜなら、⾧い年月をかけて少しずつ悪くなっているので、問題が複雑に絡み合っています。まるで絡まった糸を一本ずつほどくように治療を進めていかなければなりません。そこには糸をほどく力と共に糸を編み直す力が必要になってきます。
その作業には患者さんの協力も必要不可欠です。全顎治療においては⾧いお付き合いになるため、患者さんの心理的配慮も必要だと考えています。歯科医院は望んで行きたい場所ではない方も多いかと思います。今までにお辛い経験や嫌な思い出があるかもしれません。まずは人として患者さんを理解し、達成可能な目標を設定して当医院のスタッフ一同、一緒にゴールまで辿り着けたらと思います。

治療後も一貫してサポート

全顎治療は治療が終わってからが、予防の始まりです。治療後も虫歯や歯周病の再発を防ぎ、一貫して健康な口腔内を維持できるようにサポートし続けます。全顎治療は場合によっては人生に影響しかねない治療です。そのような大事な治療に関わらせてもらっているからには一生のお付き合いだと思っています。治療した後の口腔内が健康を維持することは自分事として責任を持って患者さんの口腔内の健康維持に取り組んでまいります。

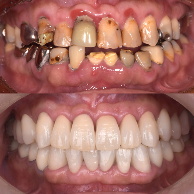
症例①(重度歯周病+再生療法)

  • 主訴 歯茎が腫れて痛い
  • 診断 重度歯周病、審美障害、咬合崩壊
  • 治療内容 歯周基本治療、歯周組織再生療法、補綴治療、咬合再構成
  • 治療期間 4年
  • 治療費 440万円
症例

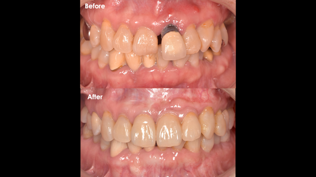
症例②(欠損+インプラント)

  • 主訴 前歯が飛び出してきた
  • 診断 多数歯欠損、重度歯周炎、歯列不正、審美障害、咬合崩壊
  • 治療内容 歯周基本治療、歯周組織再生療法、矯正治療、補綴治療、インプラント、咬合再構成
  • 治療期間 6年
  • 治療費 450万円
症例

症例③(フルマウス)

  • 主訴 歯が全体的に悪い、前歯が3本ぐらついている
  • 診断 咬合崩壊、重度歯周病、多数歯欠損、審美障害、歯列不正
  • 治療内容 歯周基本治療、歯周組織再生療法、インプラント、矯正治療、補綴治療、咬合再構成
  • 治療期間 3年
  • 治療費 510万円
症例

治療期間

全顎治療は複数の治療を行うため1~4年程度かかることがあります。(個人差があります)
全顎治療は高度な診断が必要になります。
精密検査の上で最適な治療をご提案します。

院⾧メッセージ

歯を残すかどうかは重要な判断になります。
状態によっては保存が難しい場合もありますが、可能な限り歯を残す方法を検討します。
まずは精密検査を行い、現在の状態を確認した上で最適な方法をご説明いたします。